二、慢性肾盂肾炎《病理学》

二、慢性肾盂肾炎

慢性肾盂肾炎可由急性肾盂肾炎未及时彻底治疗转变而来,或因尿路梗阻未解除,或由于膀胱输尿管返流,病变迁延,反复发作而转为慢性。有些慢性肾盂肾炎病人,多次尿培养皆为阴性,但肾病变反复发作,迁延不愈,可能与免疫反应有关。有人报告,慢性肾盂肾炎病人肾组织中有细菌抗原持续存在,可在体内引起免疫反应,使炎症继续发展。此外,细菌的L型(原生质体)可在肾髓质高渗环境中长期生存,青霉素等许多抗菌药物多系作用于细菌的细胞壁,故对细菌L型无效。细菌L型长期存在与肾盂肾炎发展为慢性有一定关系。

【病理变化】

慢性肾盂肾炎的病变特点是肾小管和肾间质活动性炎症,肾组织纤维化瘢痕形成,肾盂、肾盏变形。病变可累及一侧或两侧肾。病变分布不均匀,呈不规则的灶性或片状。肉眼观,可见两侧肾不对称,大小不等,体积缩小,质地变硬。表面高低不平,有不规则的凹陷性瘢痕(图12-24)。切面可见皮髓质界限模糊,肾乳头部萎缩。肾盂、肾盏因瘢痕收缩而变形。肾盂粘膜增厚、粗糙。

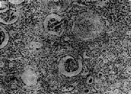
慢性肾盂肾炎

图12-24 慢性肾盂肾炎

两侧肾不对称,体积皆缩小,表面颗粒状,有不规则的瘢痕

镜下见病变呈不规则片状,夹杂于相对正常的肾组织之间。瘢痕区的肾组织破坏,肾间质和肾盂粘膜纤维组织大量增生,其中有大量淋巴细胞、浆细胞、单核细胞和多少不等的中性粒细胞浸润。其间的小血管常有炎症,管壁增厚,管腔狭小。肾小管多萎缩、坏死由纤维组织替代。有些肾小管腔扩张,腔内有均匀红染的胶样管型,形似甲状腺滤泡。有些肾小管腔内还有多数中性粒细胞。肾小球多萎缩、纤维化或玻璃样变(图12-25)。病灶周围的肾组织内肾小球尚完好,有些肾小球的球囊壁增厚,纤维化。有些肾单位呈代偿性肥大。

慢性肾盂肾炎

图12-25 慢性肾盂肾炎

有些肾小球毛细血管丛相对正常,肾球囊壁增厚,纤维化,部分肾小管萎缩消失,部分肾小管扩张,腔内有胶样管型;间质纤维组织增生,有大量淋巴细胞等炎细胞浸润

【临床病理联系】

慢性肾盂肾炎常反复急性发作。发作时症状与急性肾盂肾炎相似,尿中有多数白细胞、蛋白质和管型。由于肾小球损害发生较晚,肾小管病变比较严重,发生也较早,故肾小管功能障碍出现较早,也较明显。肾小管浓缩功能降低,可出现多尿和夜尿。电解质如钠、钾等和重碳酸盐丧失过多,可导致缺钠、缺钾和酸中毒。较晚期由于肾组织纤维化和小血管硬化,肾组织缺血,肾素分泌增加,通过肾素-血管紧张素的作用引起高血压。肾乳头萎缩,肾盂肾盏因瘢痕收缩而变形,可通过肾盂造影检见,对临床诊断有一定意义。晚期大量肾组织破坏,可引起氮质血症和尿毒症。

【结局】

慢性肾盂肾炎病程较长,及时治疗,可控制病变发展,肾功能可以得到代偿,不致引起严重后果。若病变广泛并累及双肾者,晚期可引起高血压和肾功能衰竭等严重后果,因此去除诱因和早期彻底治疗非常重要。

上一页:一、急性肾盂肾炎
当前页:二、慢性肾盂肾炎
下一页:第四节 尿石症

返回目录